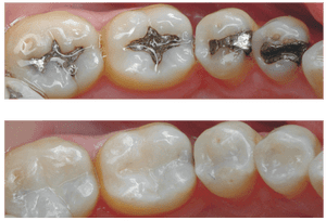
Gigi berlubang merupakan masalah yang sering membuat banyak orang merasa kurang nyaman dan bahkan sering merasa sakit gigi. Munculnya gigi berlubang bisa disebabkan oleh banyak faktor terutama kebiasaan yang kurang baik dalam merawat gigi. Ketika gigi anda mulai berlubang biasanya ketika makan akan terasa kurang nyaman dan lebih parahnya lagi gigi yang berlubang tersebut akan semakin parah dan merusak jaringan gusi. Untuk itulah banyak orang yang lebih memilih melakukan tambal gigi agar gigi yang berlubang tersebut tidak semakin parah dan masih bisa digunakan untuk mengunyah makanan.
Gigi berlubang perlu dilakukan penambalan sesegera mungkin untuk menghindari lubang yang bertambah besar dan dalam. Jika lubang sudah terlalu dalam hingga menembus saraf gigi maka harus dilakukan Perawatan Saluran Akar (PSA) dengan beberapa kunjungan. Jika lubang sudah terlalu besar dan tidak bisa di tambal, maka dengan terpaksa dilakukan pencabutan gigi.
Tentunya PSA dengan beberapa kunjungan sangat menyita waktu. Pencabutan gigi pun sangat merugikan karena kehilangan gigi dan harus membuat gigi tiruan sebagai pengganti dengan biaya yang tidak murah. Jika saat ini para pembaca merasa ada gigi yang berlubang segeralah kunjungi dokter gigi
Rp. 720.000